본격적인 추위가 시작되면서 일교차도 크게 벌어졌다. 이때 주의해야 할 것이 바로 심뇌혈관질환이다. 통계청에 따르면 2017년 심뇌혈관질환으로 사망한 사람 수는 7월(4377명)과 8월(4348명)에 가장 적었고, 12월(5775명)과 1월(5660명)에 가장 많았다. 사망자가 겨울에 많은 이유는 기온이 내려가면서 혈관이 급격히 수축되기 때문이다. 좁아진 혈관으로 혈액이 흐르다가 심장 혈관이 막히면 급성심근경색이 발생하고, 또 좁아진 혈관으로 많은 혈액을 보내기 위해 심장이 무리하게 되면서 여러 심장병 발생 위험이 높아진다. 심뇌혈관질환 중에서도 돌연사 원인의 80~90%를 차지하는 '급성심근경색'에 대해 알아본다.
◇급성심근경색, 즉시 치료해도 사망률 30~40%
간혹 건강했던 사람이 갑자기 사망했다는 이야기를 들을 때가 있다. 이런 돌연사의 경우 대부분 겉으로는 건강해 보였을지 몰라도 몸 안에서는 여러 문제가 발생하고 있는 경우가 많다. 인천성모병원 심장혈과내과 이관용 교수는 특히 돌연사의 80~90%를 차지하는 급성심근경색은 발견 즉시 치료를 해도 사망률이 30~40%가 넘고, 증상이 심각하면 1~2시간 이내에 사망할 수도 있다며 급성심근경색은 누구도 예외일 수 없기 때문에 평소에 심근경색에 대해 바로 알고 예방하는 습관을 가져야 한다고 말했다.
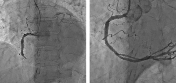
심장은 크게 세 가닥의 관상동맥을 통해 필요한 산소와 영양분을 공급받는데, 관상동맥이라는 이름은 세 가닥의 동맥이 심장을 관처럼 감싸고 있다고 해서 붙여졌다. 관상동맥 혈관 벽에 콜레스테롤이 침착되면 '죽상반'이 생성된다. 죽상반은 산화된 콜레스테롤이 혈관으로 침투해 뭉쳐서 죽같이 끈적끈적한 덩어리가 되고, 딱딱한 섬유질이 덮개처럼 덮인 것을 말한다. 혈관이 좁아지다가 염증으로 인해 죽상반이 터지고 혈전(피떡)이 생성되면 혈관이 완전히 막힐 수 있다. 이렇게 막힌 혈관 때문에 심장 근육(심근)에 혈액공급이 제대로 되지 않으면 심장 조직이 괴사한다. 즉, 심근경색은 관상동맥의 내부가 혈전으로 완전히, 또는 부분적으로 막혀 심장 조직이나 근육이 썩는 질환이다. 죽은 심장근육은 다시 살아나지 않는다.
◇사람마다 심근경색 증상 달라
급성심근경색은 특별한 증상 없이 갑자기 발병하는 경우가 많다. 이관용 교수는 혈관에 노폐물이 쌓여 있지만 혈액순환장애를 일으킬 정도로 심하지 않은 경우에는 증상을 느끼기 힘들다고 말했다. 또한 증상은 사람이나 질환의 상태에 따라 다르게 나타날 수 있다. 대표적인 증상은 가슴을 쥐어짜는 듯한 통증이다. 심한 가슴 통증은 30분 이상 지속되기도 하며, 대부분 호흡곤란과 함께 나타난다. 또 가슴의 정중앙이나 약간 좌측에서 시작된 통증은 어깨나 목, 팔로 퍼져나가는 방사통을 일으키기도 하고, 호흡곤란이나 심장 두근거림, 식은땀, 구역질, 어지러움, 소화 불량 등이 함께 생기기도 한다. 환자에 따라서 가슴 통증을 호소하기 전에 갑작스러운 의식 불명이나 심장마비로 응급실에 실려 가는 경우도 있다. 이관용 교수는 많은 사람이 가슴 통증을 소화불량으로 오인해 치료 시기를 놓친다며 가슴 통증 없이 구토를 하거나, 소화가 안 되는 느낌, 속이 쓰린 느낌, 명치나 턱 끝이 아픈 경우도 있어 심근경색 위험군일 경우 미리 심장 검사를 받는 것이 좋다고 말했다.
◇고혈압, 당뇨병 등 있으면 심근경색 위험 6배
급성심근경색의 위험을 높이는 요소에는 흡연, 고지혈증, 고혈압, 당뇨병 등이 있다. 만성질환이 있으면 일반인보다 심근경색 확률이 6배 정도로 높다고 알려졌다. 또 가족 중 심장질환으로 사망한 사람이 있다면 위험이 3~4배 높고, 비만, 육식 위주의 식습관 등도 심근경색의 위험을 높인다. 이관용 교수는 이렇게 위험 요소가 많은 환자는 애매한 흉통이 있다면 선별검사를 통해 심근경색 위험을 예측할 수 있다며 운동부하검사와 관상동맥 CT 검사가 있다고 말했다. 최근 선별적인 고위험 환자에서는 증상이 없어도 관상동맥 CT 검사를 통해 추후 심근경색 및 심혈관 합병증의 위험을 예측할 수 있는 연구들이 발표됐다.
◇스텐트 삽입해 혈관 뚫는 치료 행해져
극심한 가슴 통증이 지속되면 최대한 빨리 관상동맥중재술이 가능한 병원으로 가야 한다. 급성심근경색으로 진단되면 막힌 혈관에 스텐트(금속 그물망)를 넣어 혈전으로 막힌 혈관을 뚫고 다시 피가 흐를 수 있도록 한다. 이렇게 스텐트로 막힌 관상동맥혈관을 뚫는 것이 관상동맥중재술이다. 급성심근경색으로 심장마비가 발생하면 4분 이내 심폐소생술과 함께 가능한 한 빨리 막힌 심장혈관을 뚫어야 한다. 심장동맥 폐쇄가 시작된 지 20분 이내에 심장 근육의 안쪽에서부터 괴사가 시작돼 2~4시간 후에는 바깥쪽까지 진행해 심장 근육 전체가 손상된다. 대개 발병 직후 병원에 도착하기 전에 약 30%가 사망하며, 병원에 도착해서 적극적인 치료를 하더라도 사망률이 5~10% 이른다.
이관용 교수는 “과거에는 심근경색증을 치료하기 위해 혈전 용해제를 많이 사용했지만 일부 환자에선 효과가 적고, 고위험 환자에서는 뇌출혈의 위험성이 있으며, 혈전이 뚫리더라도 시간이 오래 걸려 치료 효과가 떨어졌다며 최근엔 말초 혈관을 통한 시술인 관상동맥중재술을 주로 시행한다”고 말했다.
2019.01.02 / 이해나 헬스조선 기자